
Math Puzzle: Find the Time
Decode a confusing clock in this math puzzle

Math Puzzle: Find the Time
Decode a confusing clock in this math puzzle

Scientists Map Microbiome Hidden Deep inside Tree Trunks
Trees’ inner heartwood harbors methane-producing microbes adapted to oxygen-poor swamps and cow guts


This Bat Recorded Itself Catching and Eating a Songbird in Midair
Scientists suspected that Europe’s largest bats snack on migrating songbirds when they can, but a stunning newly published observation proves it

Bacteria Use Viral Naps to Build Immunity
New research shows how microbes use napping viruses to vaccinate themselves

AI Reads Your Tongue Color to Reveal Hidden Diseases
Inspired by principles from traditional Chinese medicine, researchers used AI to analyze tongue color as a diagnostic tool—with more than 96 percent accuracy

South Africa’s Coast Is Rising—And Scientists Have a New Explanation Why
Human water management contributes to sinking land across the globe, and it may also be responsible for an unexpected rise

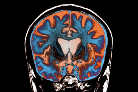
How Scientists Finally Found a Treatment That Slows Huntington’s Disease
After years of heartbreak, researchers have found an experimental treatment that can slow the progression of Huntington’s disease, according to early results from a small clinical trial

Saturn’s Moon Enceladus Has Complex, Life-Friendly Chemistry
A fresh analysis of old data has found rich organic chemistry within the hidden ocean of Saturn’s moon Enceladus

‘Ghost Fire’ in Marshes Sparked by Strange Chemistry
A phenomenon called microlightning may explain ghostly blue marsh lights

Weaver Ants Form Complex Chains to Pull More Than 100 Times Their Weight
When more humans are added to a team, each member accomplishes less work—but teams of weaver ants do better and better as more join

Evolution Shocks Scientists in an Electric Battle against Invasive Bass
Scientists electrically culled invasive fish in a 20-year battle—but the fish fought back with rapid evolution

This Blazing Exoplanet Breaks All the Rules about Alien Atmospheres, JWST Finds
Hot, small and old—exoplanet TOI-561 b is just about the worst place to look for alien air. Scientists using JWST found it there anyway